카톡상담
유튜브
권예진 원장
인스타그램
상담

top
TOP
구강진료 구강진료 악안면진료 악안면진료
GLOBAL CLOSE
3D CT를 통한 정확한 수술 계획으로 잇몸 절개 없이,
정확하게 최소식립 전악임플란트
IMPLNAMU
최소식립 전악임플란트
최소식립 전악임플란트는 육안이나 감에 의존하는 것이 아니라 디지털 기술을 통한 모의 수술로 안정성과 정확도를 높인 치료 방법입니다.
특히 네비게이션 임플란트는 잇몸을 절개하지 않거나 최소한으로 절개를 할 수 있기 때문에 출혈과 통증이 적고, 비교적 빠른 시간 안에 회복할 수 있다는 큰 장점을 가지고 있어 만성질환자 혹은 고령자에게도 적합한 치료방법입니다.
수술전
수술후
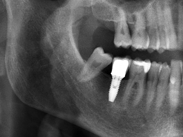
[임플란트] 타치과 임플란트 실패 후 재식립 사례
Before 1 Front Before 1 Side
수술전
수술후
[임플란트] 전악 임플란트 식립사례
Before 2 Front Before 2 Side
화살표
화살표
마음과 마음이 하는 치료,
치료이상의 치유를 약속합니다.
디지털이기 때문에 가능합니다.
모의 수술과 수술 후 결과까지 예측하는
최소식립 전악임플란트
최소식립 전악임플란트는 칼로 잇몸을 절개하는 방법이 아닌 임플란트 식립 부분만 작은 홈으로 구멍을 뚫어 시술하는 방법입니다. 이 치료 방법은 수술 후 통증이나 붓기, 출혈이 거의 없어 부담이 없는 수술입니다.

기존의 절개 수술에 비해 수술 시간이 짧고 병원 내원 횟수가 적어 연세가 많으신 고령의 환자 또는 당뇨와 고혈압 같은 전신 질환이 있으신 분들도 안전하게 시술하실 수 있어 최고의 정확성과 안정성을 보장하며 부작용을 최소화합니다.
implnamu
최소식립 전악임플란트 추천 드려요
implnamu
최소식립 전악임플란트은 특별해요
최소식립 전악임플란트 임플란트
최소식립 전악임플란트 임플란트
최소식립 전악임플란트 임플란트
최소식립 전악임플란트 임플란트
implnamu
최소식립 전악임플란트 기술력
울쎄라® 시술은 시각화된 마이크로포커스 초음파(MFU-V)를 사용하여 비침습적인 방법으로 피부층에 따라 맞춤 시술이 가능합니다.
울쎄라®는 1.5mm, 3.0mm, 및 4.5mm의 다수의 깊이를 시술하므로, 표적 조직(진피, SMAS층) 모두를 목표로 합니다.
최소식립 전악임플란트 임플란트
최소식립 전악임플란트 임플란트
POINT   보이는 초음파 리프팅
실시간 영상을 통해 사람마다 다른 피부 깊이 및 구조를 눈으로 확인해 안전하고 정밀한 개인별 맞춤 시술이 가능합니다.
최소식립 전악임플란트 임플란트
POINT   재생을 위한 최적의 온도
새로운 콜라겐 생성 및 재생을 위한 최적의 온도 60-70℃의 열을 표적 조직에 정확하게 전달합니다.
최소식립 전악임플란트 임플란트
POINT   다양한 피부 깊이에 전달
1.5mm, 3.0mm, 4.5mm의 다수 깊이를 비침습적인 방법으로 피부층에 따라 맞춤 시술이 가능합니다.
#최소식립 전악임플란트 #임플란트
최소식립 전악임플란트, 궁금해요
Q. 최소식립 전악임플란트 후 주의사항이 있나요?
A.
음식: 수술 당일에는 마취가 완전히 풀린 후, 부드러운 음식을 섭취하는 것이 좋습니다.
흡연 및 음주: 잇몸 회복을 위해 수술 후 최소 1주일 동안은 금연, 금주하는 것이 좋습니다.
무리한 활동: 수술 후에는 과도한 운동, 과로, 흡연, 음주를 피해야 합니다.
무리한 씹는 행위: 임플란트가 흔들리지 않도록 단단하거나 질긴 음식을 씹는 것을 피해야 합니다.
Q. 최소식립 전악임플란트 식립 개수는 얼마나 되나요?
상악: 보통 4~8개. 뼈가 충분하다면 8개 이상을 권장하기도 합니다.
하악: 보통 2~6개.
주의: 이 숫자는 최소한의 개수이며, 환자 상태에 따라 더 많은 개수의 임플란트가 필요할 수 있습니다.
shorts
Dr. Kwon Yejin
Specialty
Dr.Kwon Yejin
Specialty
Philosophy
치과 의사의 단 4.6% 의 특별함
언제나 환자분의 말에 공감하고 귀 기울이겠습니다.구강뿐만 아니라 환자의 몸, 그리고 마음까지, 전신적인 케어를 제공합니다.
From treatment to true healing,
heart to heart.
치료를 넘어 치유로, 마음과 마음으로
‘나무’가 가진 상징처럼, 치료를 넘어 치유되도록 약속합니다. 구강뿐만 아니라 환자의 몸, 그리고 마음까지, 전신적인 케어를 제공합니다.
상담이 필요해요.
APPOINTMENT 예약상담 / 오시는 길
경기도 광명시 오리로 963-1, 2층 주소 복사
(광명사거리역 1번 출구 도보 1분)
02-6212-2228
HOURS 진료시간 안내
진료안내
평        일  
오전 09:30 - 오후 18:30
월        수  
오전 09:30 - 오후 20:30
토    요    일  
오전 09:30 - 오후 14:00
일요일 및 공휴일 휴진
PARKING 주차안내
오시는 길
경기도 광명시 오리로 963-1, 2층
광명사거리역 1번출구와 서울임플나무치과 사이 골목으로 들어오셔서 20m전방 우회전하면 치과주차장이 있습니다.
카카오
지도
구글
지도
로고

로그인

로그인 후 이용해주세요.