카톡상담
유튜브
권예진 원장
인스타그램
상담

top
TOP
구강진료 구강진료 악안면진료 악안면진료
GLOBAL CLOSE
정확한 영상 진단과 미세 절개로 주변 조직 손상은
줄이고, 안전하게 낭종,양성종양
IMPLNAMU
낭종,양성종양
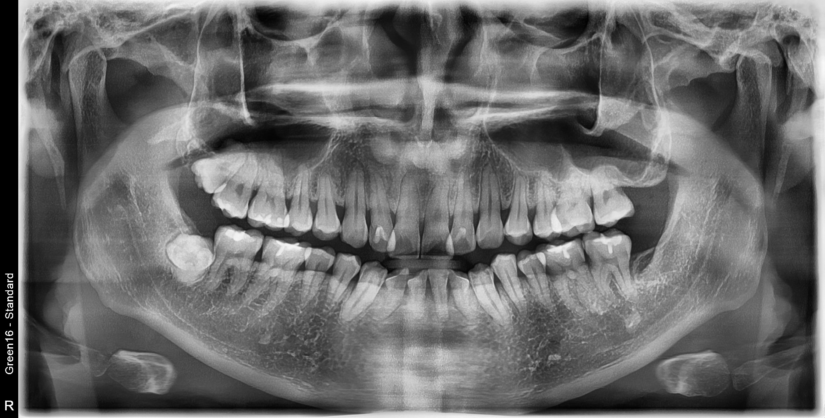
낭종, 양성종양 수술은 CT 등 정밀 검사를 통해 병변의 위치와 크기를 먼저 확인한 뒤, 주변 신경과 치아를 최대한 보존하면서 필요한 부위만 선택적으로 제거하는 치료입니다.
입 안으로 접근하거나 최소 절개로 진행해 통증과 붓기, 출혈 부담을 줄이고, 고령자나 만성질환이 있는 분들도 비교적 안정적으로 회복하실 수 있습니다.
수술전
수술후
[악안면외과] 우측 매복사랑니 발치 난케이스 사례
Before 1 Front Before 1 Side
화살표
화살표
마음과 마음이 하는 치료,
치료이상의 치유를 약속합니다.
정확히 확인하고 깔끔하게 제거합니다.
낭종과 양성종양을 안전하게 없애는 구강 수술
낭종, 양성종양 수술은 먼저 검사로 병변의 위치와 크기를 파악한 뒤, 주변 신경과 치아를 최대한 보존하면서 필요한 부위만 선택적으로 제거하는 방법입니다. 불필요한 절개를 줄여 통증·붓기·출혈 부담을 덜어 드립니다.

수술 범위를 최소화해 회복이 빠르고 입원 기간과 내원 횟수도 줄어듭니다. 고령이거나 당뇨, 고혈압 같은 전신질환이 있는 분들도 상태를 충분히 평가한 뒤 비교적 안전하게 치료를 받으실 수 있도록 돕습니다.
implnamu
낭종,양성종양 추천 드려요
implnamu
낭종,양성종양은 특별해요
낭종,양성종양 악안면외과
낭종,양성종양 악안면외과
낭종,양성종양 악안면외과
낭종,양성종양 악안면외과
implnamu
낭종,양성종양 기술력
울쎄라® 시술은 시각화된 마이크로포커스 초음파(MFU-V)를 사용하여 비침습적인 방법으로 피부층에 따라 맞춤 시술이 가능합니다.
울쎄라®는 1.5mm, 3.0mm, 및 4.5mm의 다수의 깊이를 시술하므로, 표적 조직(진피, SMAS층) 모두를 목표로 합니다.
낭종,양성종양 악안면외과
낭종,양성종양 악안면외과
POINT   보이는 초음파 리프팅
실시간 영상을 통해 사람마다 다른 피부 깊이 및 구조를 눈으로 확인해 안전하고 정밀한 개인별 맞춤 시술이 가능합니다.
낭종,양성종양 악안면외과
POINT   재생을 위한 최적의 온도
새로운 콜라겐 생성 및 재생을 위한 최적의 온도 60-70℃의 열을 표적 조직에 정확하게 전달합니다.
낭종,양성종양 악안면외과
POINT   다양한 피부 깊이에 전달
1.5mm, 3.0mm, 4.5mm의 다수 깊이를 비침습적인 방법으로 피부층에 따라 맞춤 시술이 가능합니다.
#낭종,양성종양 #악안면외과
낭종,양성종양, 궁금해요
Q. 낭종,양성종양 후 주의사항이 있나요?
A.
음식: 낭종·양성종양 제거 후에는 상처 부위를 자극하지 않도록, 마취가 완전히 풀린 뒤 부드럽고 자극이 적은 음식 위주로 섭취하는 것이 좋습니다.
흡연 및 음주: 출혈과 감염, 상처 회복 지연을 막기 위해 수술 후 일정 기간은 금연·금주를 권장합니다.
구강 위생: 수술 부위를 피해서 부드러운 칫솔로 양치하고, 병원에서 안내한 가글이나 세척 방법을 지켜 관리해 주세요.
출혈·부기: 소량의 피 섞인 침이나 붓기는 일시적으로 나타날 수 있으나, 출혈이 계속되거나 통증·부종이 심해지면 병원으로 연락해 주세요.
Q. 구강 내 낭종·양성종양은 모두 수술로 제거해야 하나요?
낭종과 양성종양은 위치와 크기, 성장 속도, 주변 치아·신경에 주는 영향에 따라 치료 방법이 달라집니다.
뼈를 점점 부풀리거나 치아 뿌리를 밀어내는 낭종, 모양과 크기가 빠르게 변하는 병변은 보통 조직검사와 함께 제거를 고려하게 됩니다.
증상이 거의 없고 크기가 작더라도, 향후 변화 가능성을 확인하기 위해 정기적인 관찰이 필요할 수 있습니다.
최종 결정은 엑스레이·CT·임상검사 결과를 종합해 전문의가 설명드린 뒤, 환자분과 상의하여 치료 방향을 정하게 됩니다.
shorts
Dr. Kwon Yejin
Specialty
Dr.Kwon Yejin
Specialty
Philosophy
치과 의사의 단 4.6% 의 특별함
언제나 환자분의 말에 공감하고 귀 기울이겠습니다.구강뿐만 아니라 환자의 몸, 그리고 마음까지, 전신적인 케어를 제공합니다.
From treatment to true healing,
heart to heart.
치료를 넘어 치유로, 마음과 마음으로
‘나무’가 가진 상징처럼, 치료를 넘어 치유되도록 약속합니다. 구강뿐만 아니라 환자의 몸, 그리고 마음까지, 전신적인 케어를 제공합니다.
상담이 필요해요.
APPOINTMENT 예약상담 / 오시는 길
경기도 광명시 오리로 963-1, 2층 주소 복사
(광명사거리역 1번 출구 도보 1분)
02-6212-2228
HOURS 진료시간 안내
진료안내
평        일  
오전 09:30 - 오후 18:30
월        수  
오전 09:30 - 오후 20:30
토    요    일  
오전 09:30 - 오후 14:00
일요일 및 공휴일 휴진
PARKING 주차안내
오시는 길
경기도 광명시 오리로 963-1, 2층
광명사거리역 1번출구와 서울임플나무치과 사이 골목으로 들어오셔서 20m전방 우회전하면 치과주차장이 있습니다.
카카오
지도
구글
지도
로고

로그인

로그인 후 이용해주세요.